Patientenfälle
Ab und an werden wir hier Vorher/Nachher-Bilder mit kurzen Erklärungen veröffentlichen, damit Sie einen Einblick in unsere tägliche Arbeit bekommen.
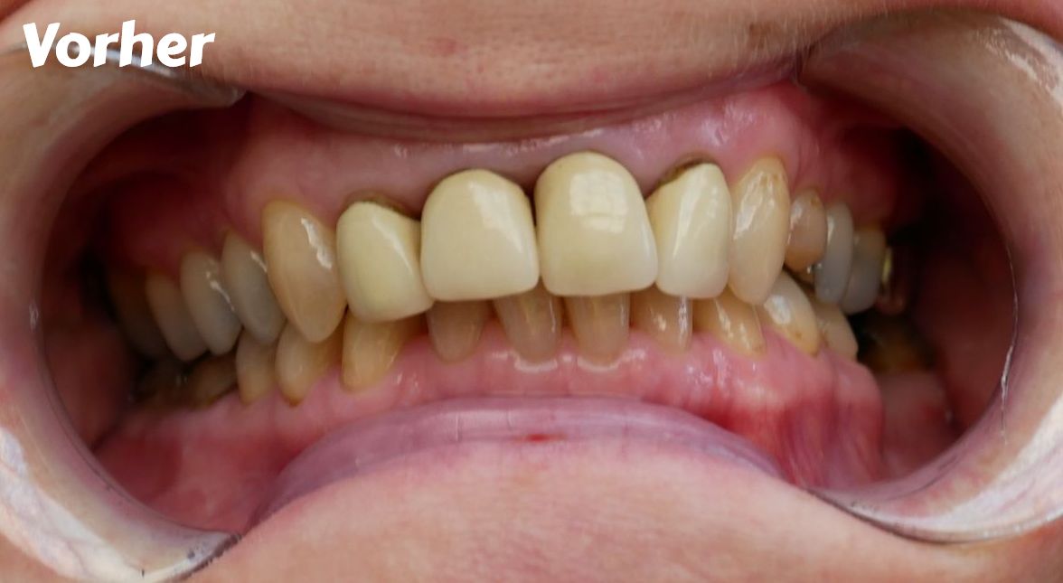
Patientenfall 1

Die Patientin stellte sich mit ca. 30 Jahre alten Frontzahnkronen und Dysharmonie in Form und Farbe der Zähne vor.

Es erfolgte ein Austausch der alten Metallkronen sowie Amalgamfüllungen durch moderne, vollkeramische Versorgungen. Dabei achteten wir insbesondere auf die korrekte Achse und Länge der Frontzähne, welche vorher nicht gegeben war.
Die -nun- nicht mehr vorhanden Metallränder führten außerdem zur deutlichen Verbesserung der Rot-Weiß-Ästhetik am Zahnfleischrand.
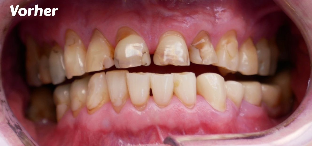
Patientenfall 2

Der ca. 60-jährige Patient stellt sich mit sanierungsbedürftigem Oberkiefer vor. Infolge von nächtlichem Knirschen zeigen sich abgenutzte Schneidekanten und fehlende Eckzahnspitzen.
Zusätzlich sind Zahnfleischrückgang und verfärbte Füllungen zu diagnostizieren, was zu einer unzufriedenstellenden Ästhetik führt.

Durch hochwertige vollkeramische Versorgungen konnten wir die ursprüngliche Länge, Form und Farbe der Oberkieferzähne wiederherstellen.
Team und Patient sind sehr zufrieden mit dem Ergebnis!
Patientenfall 3

Die ca. 50-jährige Patientin stellt sich mit drei alten Metallkeramik-Kronen im Oberkiefer vor.
Die Kronen an den mittleren Schneidezähnen sind nicht mehr randschlüssig, das Zahnfleisch bereits zurückgegangen.
Der Wunsch nach ästhtischer Rehabilitation der Patienten deckte sich mit der zahnmedizinischen Notwendigkeit der Kronenerneuerung.

Da es in unserer Praxis möglich ist, derartige Versorgungen in einer Sitzung auszutauschen, entfiel das sonst oftmals lästige Provisorium.
Patientin und Team sind nach einem erfolgreichen Vormittag sehr zufrieden mit dem Ergebnis!
